ビフォー・アフター写真・・・症例1
ビフォー2枚
(口元にコンプレックスがありました。右上の前歯は内側に引っ込んでいます。)

アフター2枚
(きれいに並んだ上下の白い歯。口元に自信が回復しました。)

○症例写真の詳細
(写真1)

初診時の写真(患者さんのスナップ写真より)。
口元にコンプレックスがあり、
笑う時もてのひらで口元を隠していました。
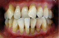
(写真2)

正面観・・・右上の前歯が内側に入り込んでいます。
下の前歯も歯茎が下がりグラグラと動揺しています。
(写真3)

右側面観・・・歯槽骨の吸収が激しく知覚過敏を
起こしている歯もありました。
(写真4)

左側面観・・・臼歯の動揺も激しく保存可能ギリギリの
状態でした。
(写真5)

初診時の歯型模型(正面観)
(写真6)

治療終了時の歯型模型(正面観)
(写真7)

初診時のX線写真(問題を抱えている歯も多かったのですが、
患者さんの希望も考慮してなるべく歯を抜かずに治療を
することにしました。)
(写真8)

補綴治療終了時のX線写真(全ての歯の神経の治療を終えて
補綴治療をしました。)
保存するには厳しい状態の歯もありましたが、
何とか全ての歯を抜かずに治療を終了することができました。
あとはメンテナンスでしっかり管理していき、
問題が起これば速やかに対応をしてゆきます。
下記のボタンを選んで、治療症例に進んでください
![]()
![]()
![]()
〒802-0812
北九州市小倉南区西水町5-21
TEL 093-931-5602